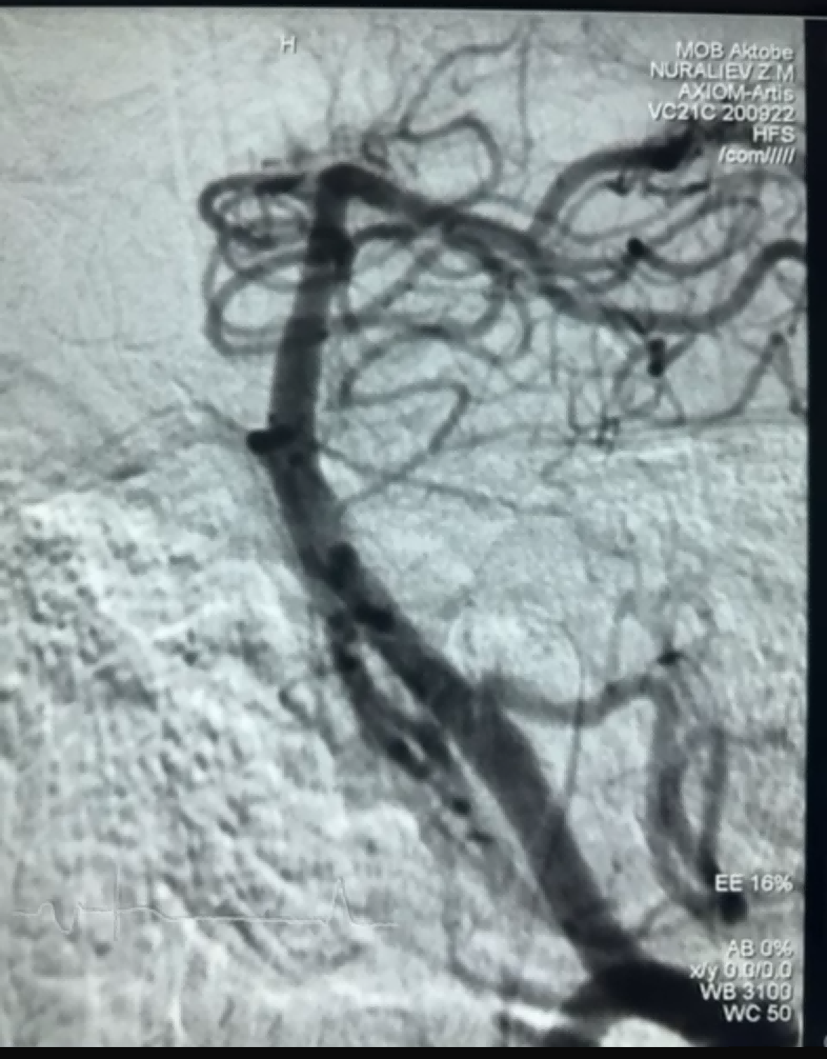
Recently, there was a successful thrombectomy case using the Dredger Stent Retriever of NeuroSafe Medical Co., Ltd. The Dredger Stent Retriever has a non-invasive soft tip, which greatly reduces the risk of intimal damage, and has a unique special-shaped hole design that captures blood clots mainly by clamping the gap changes.





